Ambulance Services - 044 - 28193578, 755 000 2207

Complete Management of Pulmonary and Extra Pulmonary Tuberculosis

Santosham Chest Hospital offers Complete Management of Pulmonary and Extra Pulmonary Tuberculosis. Dr. Ravi Santosham our Chest Physician is experienced in the treatment of Pulmonary and Extra Pulmonary Tuberculosis.

Tuberculosis, MTB, or TB (short for tubercle bacillus) is a common, and in many cases lethal, infectious disease caused by various strains of mycobacteria, usually Mycobacterium tuberculosis. Tuberculosis typically attacks the lungs, but can also affect other parts of the body. It is spread through the air when people who have an active TB infection cough, sneeze, or otherwise transmit respiratory fluids through the air. Most infections are asymptomatic and latent, but about one in ten latent infections eventually progresses to active disease which, if left untreated, kills more than 50% of those so infected. The classic symptoms of active TB infection are a chronic cough with blood-tinged sputum, fever, night sweats, and weight loss (the latter giving rise to the formerly prevalent term "consumption"). Infection of other organs causes a wide range of symptoms.
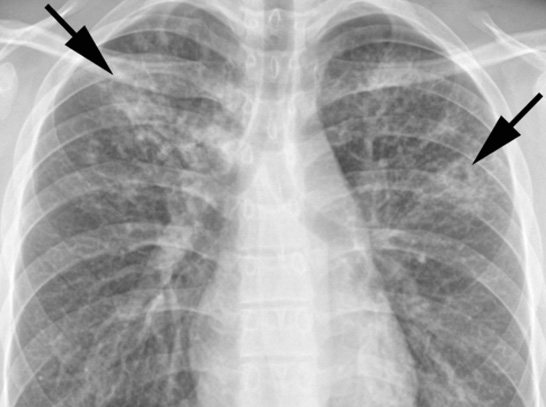
Diagnosis of active TB relies on radiology(commonly chest X-rays), as well as microscopic examination and microbiological culture of body fluids. Diagnosis of latent TB relies on the tuberculin skin test (TST) and/or blood tests. Treatment is difficult and requires administration of multiple antibiotics over a long period of time. Social contacts are also screened and treated if necessary. Antibiotic resistance is a growing problem in multiple drug-resistant tuberculosis (MDR-TB) infections. Prevention relies on screening programs and vaccination with the bacillus Calmette–Guérin vaccine

If a tuberculosis infection does become active, it most commonly involves the lungs (in about 90% of cases). Symptoms may include chest painand a prolonged cough producing sputum. About 25% of people may not have any symptoms (i.e. they remain "asymptomatic"). Occasionally, people may cough up blood in small amounts, and in very rare cases, the infection may erode into the pulmonary artery, resulting in massive bleeding (Rasmussen's aneurysm). Tuberculosis may become a chronic illness and cause extensive scarring in the upper lobes of the lungs. The upper lung lobes are more frequently affected by tuberculosis than the lower ones. The reason for this difference is not entirely clear. It may be due either to better air flow, or to poor lymph drainage within the upper lungs.

In 15–20% of active cases, the infection spreads outside the lungs, causing other kinds of TB. These are collectively denoted as "extrapulmonary tuberculosis". Extrapulmonary TB occurs more commonly in immune suppressed persons and young children. In those with HIV, this occurs in more than 50% of cases. Notable extrapulmonary infection sites include the pleura (in tuberculous pleurisy), the central nervous system (in tuberculousmeningitis), the lymphatic system (in scrofula of the neck), the genitourinary system (in urogenital tuberculosis), and the bones and joints (in Pott's disease of the spine), among others. When it spreads to the bones, it is also known as "osseous tuberculosis". a form of osteomyelitis. Sometimes, bursting of a tubercular abscess through skin results in tuberculous ulcer. An ulcer originating from nearby infected lymph nodes is painless, slowly enlarging and has an appearance of "wash leather". A potentially more serious, widespread form of TB is called "disseminated" TB, commonly known as miliary tuberculosis. Miliary TB makes up about 10% of extrapulmonary cases.

24/7AMUBULANCE SERVICE

emergency044 - 28193578, 755 000 2207

Copyrights © Santosham Chest Hospital. All Rights Reserved | Website designed by Glint Creatives.

QUICK ENQUIRY